Уникальная операция
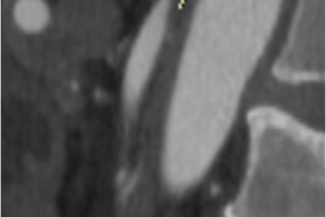
Хирургами центра сосудистой хирургии им. Т.Топпера выполнена уникальная операция по лечению синдрома абдоминальной ишемии у пожилого мужчины с тяжелой сопутствующей патологией. При поступлении пациент предъявлял жалобы на боль в животе, постоянного характера, потерю веса на 27 кг за последние 6 месяцев, отсутствие аппетита. При обследовании выявлены стенозы чревного ствола, верхней брыжеечной артерии и окклюзия нижней брыжеечной артерии, а также трофические изменения в желудке и тяжелое заболевание крови.
Хирурги центра сосудистой хирургии им. Т.Топпера, под руководством Светликова А.В., выполнили операцию по восстановлению кровотока в органах желудочно-кишечного тракта, соответствующую всем Мировым стандартам. Операция была проведена под местной анестезией через кожную пункцию (без разрезов). Боль в животе начала стихать на операционном столе, а полностью прошла в течении часа. На 8 сутки после эндоскопического контроля (ФГДС), на котором была отмечена положительная динамика, пациент был выписан на амбулаторное лечение.

