Уникальная операция
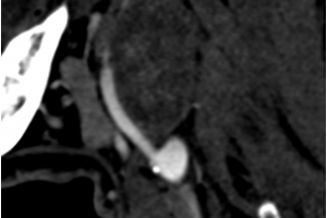
В мае 2019 года хирургами центра сосудистой хирургии им. Т. Топпера была выполнена уникальная операция по удалению гигантского образования шеи, которое давило на сосуды и нервы, угрожая жизни пациента. При исследовании структуры опухоли под микроскопом было установлено, что это шваннома (невринома) – вид доброкачественной опухоли, произрастающей из клеток миелиновой оболочки нерва. Послеоперационный период протекал гладко и на 7 сутки в удовлетворительном состоянии пациент был выписан.

