Своевременное обращение к специалисту — залог спасения конечности
За первые две недели насыщенной работы нашего центра сосудистой хирургии после длительной паузы в работе в связи с эпидемией коронавирусной инфекции удалось выполнить уже более 20 операций. Больше половины вмешательств составили реконструкции артерий нижних конечностей.
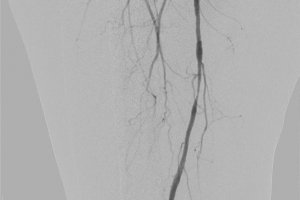
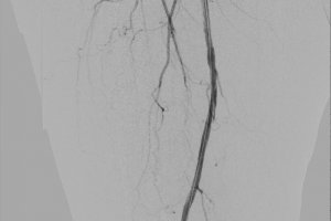
Одной из успешно выполненных эндоваскулярных операций была баллонная ангиопластика рестеноза (повторного сужения) бедренной артерии. Пациенту уже выполнялась подобная процедура полгода назад по месту жительства в связи с болью в мышцах нижних конечностей при ходьбе на расстоянии 100–200 метров. После первой операции боль прошла, однако она возобновились вновь через 7 месяцев. Осмотр и исследования позволили выявить критический рестеноз оперированной артерии.
Нашими хирургами выполнена уникальная операция на «заросшей» артерии с помощью баллонного катетера с лекарственным покрытием, показавшим свою эффективность в значительном удлинении сроков повторного стеноза артерии.
Следует отметить, что благодаря своевременно выявленной проблеме, вся операция проводилась через один прокол в паховой области, без разрезов, без наркоза (с применением местной анестезии) и длительностью всего 50 минут. Уже на следующий день пациент вновь мог свободно ходить без боли в ноге длинные дистанции.
Крайне важно после каждой операции строго следовать рекомендациям лечащего врача и своевременно приходить на контрольные визиты, которые позволяют вовремя выявлять рестенозы артерий и проводить необходимую медикаментозную или оперативную коррекцию болезни с наименьшими рисками и лучшим результатом и прогнозом.
Берегите себя и будьте здоровы!



