Эндопротезирование аорты по редкой методике
В нашей клинике хирурги выполнили первое в России эндопротезирование аорты по редкой методике.
Мы запустили телеграм-канал. Подписывайтесь, чтобы видеть работу нашего отделения и получать полезную информацию о заболеваниях сосудистой системы.
В Российской Федерации около трети случаев хирургической помощи при заболеваниях аорты выполняется эндоваскулярный методом. Эндопротезирование аорты (внутрисосудистый способ лечения) на сегодняшний день не является эксклюзивной опцией, однако, является прогрессивным малоинвазивным методом помощи пациентам. В нашей клинике около 50 пациентов в год проходят подготовку, наблюдение и хирургическое лечение при аневризме брюшного отдела аорты.
Иногда встречаются индивидуальные случаи, требующие особого подхода.
Так в 2016 году впервые в России выполнена операция, заключающаяся в установке фенестрированного стент-графта — специально смоделированное и изготовленное на заказ под конкретную анатомическую модель устройство, успешно имплантированное командой сосудистых хирургов.
В текущем году проведено хирургическое лечение аорты с интересным нюансом.
60-ти летний пациент, длительно получал помощь по месту жительства. Жалобы на схваткообразные боли в области поясницы, купирующиеся только внутримышечными уколами обезболивающих средств, сопровождали его в течение 3-х лет. Затем появились боли опоясывающего характера.
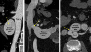
По данным МСКТ агиографии от 2020 обнаружено аорто-венозное сообщение (у здоровых людей такого не наблюдается) между аортой и левой почечной веной, веретенообразно расширенной до 9см!
После тщательной предоперационной подготовки, Руководитель и заведующий центра сосудистой хирургией, профессор кафедры госпитальной хирургии Санкт-Петербургского Государственного университета, д.м.н., Алексей Владимирович Светликов и лечащий врач, главный хирург Центра хирургии аорты, Павел Андреевич Галкин выполнили оперативное лечение.
Под местной анестезией выполнено четыре пункции сосудов рук и ног (плечевые и бедренные артерии справа и слева) и выполнено уникальное эндоваскулярное протезирование брюшного отдела аорты стент-графтом от уровня почечных артерий и самих почечных артерий, таким образом исключив из кровотока патологический процесс – артериовенозное сообщение.
По данным контрольной ангиографии непосредственно после оперативного вмешательства: адекватное позиционирование стент-графтов, без признаков диссекций, нарушения целостности артериальных сосудов. Почечные артерии и верхняя брыжеечная артерия проходимы, почечная вена визуально уменьшилась до нормальных размеров.

Образование свища между аневризмой аорты и полым анатомическим образованием является редким и достаточно сложным с точки зрения проведения хирургического лечения заболеванием.
Причиной образования сообщения между аортой и веной, описанного в данном клиническом наблюдении предполагается ножевое ранение брюшной полости от 2002 года, после которого была произведена операция на органах брюшной полости. В литературе описаны единичные случаи образования посттравматического соустья. При наличии такого состояния происходит изменение давления, приводящее к перегрузке правых отделов сердца и развитии клиники правожелудочковой недостаточности (одышка и кашель с кровью). При обнаружении аорто-венозного свища необходимо хирургическое вмешательство.
Из научных публикаций, известно о 30% летальности при открытом хирургическом лечении данной группы больных, преимущественно за счет массивной кровопотери. В настоящее время наиболее перспективным является использование эндоваскулярной (малоинвазивной) стратегии оперативного пособия.
В отечественной литературе не описано подобных случаев хирургического лечения по вышеописанной методике. Данный клинический случай будет опубликован в крупнейшем журнале Российского Общества ангиологов и сосудистых хирургов
Для получения современной, своевременной медицинской помощи на высшем уровне обращайтесь на консультацию к специалистам нашего центра.
Тел. Координатора Центра 8(921)962-92-91
Тел. Колл-центра 8(812)363-11-22

